“How Good to Finally Have Options!”
Why Every Parent, and Every Patient, Deserves Real Choice in Dental Care
Parents (and patients) deserve to know all their options. Not just the one their dentist prefers. Even if most will choose the same as their dentist, everyone has the right to understand the pros and cons of every treatment.

“How good to finally have options!”
That’s what one parent exclaimed in our recent study when they learned there was more than one way to treat their child’s tooth decay. For many families, this is a revelation. For too long, dental care, especially for children, has been about “the way we’ve always done it.” But our new research, published in Community Dentistry and Oral Epidemiology, shows that when parents are given real choices, everything changes.
Why Choice Matters—For Children and Adults
The right to participate in decisions about your own healthcare is enshrined in international human rights documents. Article 24 of the United Nations Convention on the Rights of the Child (UNCRC) states that children have the right to the highest attainable standard of health and access to health services. In the UK, the NHS expectations and NICE guidelines in the UK also make clear that patients of any age should be involved in decisions about their care.
But in dentistry, the reality is often different. Most people, children as well as adults, are only ever offered one treatment plan, usually the one their dentist is most comfortable with. Our study shows just how much this needs to change.
What Did We Find?
We interviewed 19 parents whose children had experienced either traditional or minimally invasive dental care to see what they thought of each kind of treatment. Minimally Invasive Dentistry is the name for a group of treatments that are less aggressive and more conservative (some examples later. Four big themes emerged:
1. Avoiding Unnecessary Discomfort and Distress
Parents described traditional dental treatment as traumatic, physically, emotionally, and even socially. Many recalled their children being held down, or coming out of general anaesthesia distressed. Minimally invasive dentistry (MID) was seen as gentler, less painful, and less frightening.
“The most terrible event was when my daughter’s teeth were treated, physically holding her by force. I will not agree to anything like that again! If the child does not allow herself to do anything, then I would choose one of the MID methods, which seem much more gentle.”
2. Prioritising Treatment Qualities
Parents want treatments that work, but they also care about aesthetics, durability, and comfort. Some worried about the black staining from silver diamine fluoride (SDF), especially on front teeth, but others were pragmatic:
“Aesthetics don’t bother me. The main thing is to stop the damage. Silver diamine fluoride can do it, so I chose this method for my daughter. Yes, its black colour spoils the appearance, but it is temporary because the primary teeth will fall out.”
3. The Power of Information
Most parents had never heard of MID until our interviews. They wanted clear, simple explanations and not just for themselves, but for teachers, doctors, and other parents. They felt that misinformation and lack of awareness were major barriers to MID, especially when some of the options were not aesthetic.
“If you see such black teeth on another child, you don’t understand what it is and then it seems, yes, quite terrible. If you know what it is, then you understand.”
4. Choices of Suitable Options
The biggest surprise for many parents was that there were options. Most had only ever been offered one treatment, usually traditional drilling and filling. When given choices, parents felt empowered and relieved:
“Yes, when there are these options to choose from! That there is not only one option. When there are these options, they can then be adjusted for each child as needed. As is better for the child!”
Real-World Examples: What Are the Options for Children with Tooth Decay?
Examples of Minimally Invasive Treatment Options (there are many more)
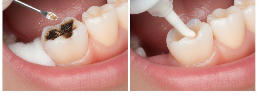
1. Atraumatic Restorative Treatment (ART) is a way of removing tooth decay by using a tiny spoon to scoop it out of the cavity and then a filling is placed in the cavity and left to go hard. There is no drilling and no injections. Unfortunately, it can only be used with predictable success in small cavities.
AI generated image Left: a baby tooth having tooth decay removed with a spoon instrument and Right: a filling being placed.
2. Silver Diamine Fluoride (SDF) is a liquid painted onto decayed teeth to stop the decay. It’s quick, painless, and doesn’t require drilling or injections. The downside? It turns the decayed part of the tooth black, which some parents and children find off-putting, especially for front teeth.
3. Hall Technique Crowns (more info here) involves placing a preformed metal crown over a decayed tooth without drilling or injections. It’s quick and effective, but the crown is silver and visible.
Examples of traditional options (again there are others)
General Anaesthesia (GA) is sometimes used for children who can’t tolerate dental treatment while awake. All the dental work is done in one go, but GA carries risks and can be distressing for both child and parent.
Drilling and Filling is the traditional approach: an injection is needed to freeze the tooth, decay is removed with a drill, then the hole is filled with a filling. This can be uncomfortable and is often traumatic for young children, and they don’t like the numb feeling from the injection. It leaves the tooth looking normal
What parents said:
When explained to them, they understood that baby teeth could be treated well with MID
Some were happy to accept black staining if it meant avoiding pain and trauma. Others preferred the look of a white filling, even if it meant more discomfort for their child.
Most preferred the Hall crown to avoid the risks of GA, even if it meant a “Superman tooth.” But a few felt that GA was the only way to get everything done at once, especially if their child was very anxious.
Why Are Dentists Still Only Offering One Option?
This study was carried out in Latvia but it is certainly not just a Latvian issue. Across Europe and the UK, dental training and funding models have long favoured invasive treatments. Many dentists are simply used to recommending what they know best. But as our study shows, this doesn’t always align with what families want or need.
Shared Decision Making: Not Just a Buzzword
In the UK, shared decision making (SDM) is a core expectation in healthcare, enshrined in NICE guidelines and NHS expectations. SDM means clinicians and families work together, weighing up the evidence and the family’s values, to make the best choice for that child.
But in dentistry, SDM is still the exception, not the rule. Too often, parents are passive recipients of a single recommendation. Our study shows that when parents are informed and involved, they make thoughtful, pragmatic choices, sometimes prioritising comfort, sometimes aesthetics, sometimes simply wanting to avoid trauma.
And this isn’t just about children. Adults, too, are often only offered one option for their dental care. The lessons from paediatric dentistry apply to everyone: patients deserve to know their options, and to be trusted to make the right choice for themselves.
Why We Need to Get Better
Parents want to be involved. They want to understand the options and make the right choice for their child.
Dentists need support and training. Many are not used to discussing options or facilitating SDM.
The public needs better awareness. Most people don’t know what’s possible in modern dentistry, and myths persist.
What Needs to Change?
Education for Dentists:
Communication and SDM should be core skills, not afterthoughts.Accessible Information for Families:
We need clear, jargon-free resources about all treatment options.Policy and Funding Reform:
Funding models should support, not hinder, the use of minimally invasive options.Public Dental Literacy and Awareness:
Campaigns to improve dental literacy and reduce stigma around treatments like SDF.
Final Thoughts
Our study’s message is simple:
When parents are given real choices, they feel empowered. When dentists listen, children get better care.
It’s time for dentistry to catch up with the rest of healthcare and make shared decision making the norm, not the exception. Even if most families choose the same option their dentist would have recommended, they deserve to know the pros and cons of every option. That’s not just good practice, it’s a human right.
If you’re a parent, ask your dentist about all the options. If you’re a dentist, make space for real conversations. If you’re a policymaker, help us build a system where choice is standard, not a surprise.
References:
Stamere U, Stars I, Innes N, Protasa N, Uribe SE, Mariño R, Maldupa I. (2025). “How Good to Finally Have Options! A Qualitative Reflexive Thematic Analysis Exploring Parents’ Perceptions of Non-Invasive and Minimally Invasive Caries Management Strategies.” Community Dentistry and Oral Epidemiology, 0:1–15. Read the full article
Sources:
https://www.ohchr.org/en/instruments-mechanisms/instruments/convention-rights-child
https://www-nice-org-uk.cardiff.idm.oclc.org/

